▲隔週で木曜休診 / 土曜(8:30~13:30)診療
[ 休診日 ] 日曜・祝祭日 ※第5土曜日は診療
福岡県北九州市 若松区塩屋3-3-5
精密根管治療
- 抜歯と言われた歯を、守れる可能性があります
- 根管治療を支える、3つの”高い”クオリティ
- 1. 高い治療精度
- 2. 高い患者満足度
- 3. 高い治療効率
- 歯内療法(根の治療)専門医による治療
- 歯を残す「プロフェッショナル」
- 痛みに配慮したスピーディな治療
- 通院回数を最小限に
- 高い成功率と長期的な歯の保存
- 日本顕微鏡歯科学会認定医による精密根管治療
- 従来よりも治療期間を短縮し、再発の可能性を大幅に下げる
- 精度を高めるための先進設備と取り組み
- マイクロスコープ根管治療
- CTによる三次元的な診断
- ニッケルチタンファイルによる柔軟な処置
- MTAセメントで再感染を防ぐ
- ラバーダムの使用
- 根管治療で土台を整えることの重要性
- 保険と自費の根管治療
- 根管治療とは
- 根管治療の流れ
抜歯と言われた歯を、
守れる可能性があります
むし歯が神経まで進行してしまった場合、以前なら「抜歯するしかない」と言われることが少なくありませんでした。
けれども現在では、歯の根の中をきちんと治療することで、歯を残せる可能性が広がっています。
当院では、精密な根管治療に力を入れ、マイクロスコープや高性能な薬剤を用いた再発防止にも取り組んでいます。
「できる限り自分の歯を残したい」「他院で抜歯をすすめられた」という方も、一度ご相談ください。
このようなお悩みはありませんか?
- 何度も再発を繰り返している
- 治療に終わりが見えず、通院が長引いている
- 他院で抜歯しかないと診断された
根管治療を支える、
3つの”高い”クオリティ
1. 高い治療成功率
根管治療の成功は、細菌による根管内の感染をいかに防ぐかにかかっています。この感染対策が不十分だと、せっかく治療をしても再発し、外科的な処置が必要になる可能性があります。
当院ではこの原則に基づき、ディスポーサブル器具の徹底やラバーダムの確実な使用といった、感染を防ぐための準備を一切惜しみません。その結果として、実に8割以上の症例で外科処置を回避できており、他院で「抜歯しかない」と診断された歯を数多く救ってきた実績があります。
一つひとつの工程を丁寧に行うことで、再発リスクの低い、成功率の高い治療を提供します。
2. 高い患者満足度
一般的な歯科医院では、1回の治療が15分~20分程度で、治療完了までに半年近くかかってまうケースも少なくありません。
当院の精密な治療は、そうした患者様のご負担を解消し、満足度の高い「結果」となって表れます。多くの場合、わずか2~3回という短い通院期間で治療が完了し、「長年の痛みが取れた」「不快な違和感がなくなった」といった症状の改善を実感いただいております。
私たちは、一度の治療に十分な時間と持てる技術のすべてを注ぎ込むことで、患者様一人ひとりにとって満足度の高い根管治療となることを目指しています。
3. 高い診断力
良い治療結果は、精度の高い診断があってこそ実現します。
当院では、歯科用CT(CBCT)やレントゲンといった高度な検査機器を駆使し、歯の内部やその周囲の骨の状態を三次元的に詳細に把握します。しかし、これらの機器はあくまで状態を可視化するツールにすぎません。その検査データから、レントゲンでは見えない複雑な根管の形状や病巣の広がりを正確に読み解き、「この歯が治療によって本当に救えるのか」を判断するには、術者の豊富な経験と専門的な診断力が何よりも重要です。
当院では、数多くの難症例を担当してきたドクターや、歯内療法の専門医が診断を実施します。高いレベルの知見と経験があるからこそ、高度な検査機器の能力を最大限に引き出し、見落としの無い、成功に繋がる治療計画を立案できるのです。
歯内療法(根の治療)
専門医による治療
歯を残す「プロフェッショナル」
日本人の約2/3が、歯の神経を取った経験があるとされ、その歯の根の先に膿がたまっているケースも少なくありません。
こうした症状に対して、多くの方が抜歯やインプラント治療を選ばざるを得ない理由のひとつが、日本では歯内療法専門医の存在が極めて少ないことにあります。
歯内療法専門医は、専門的な教育と数多くの治療経験に基づき、高い確率(90~95%)で歯を残す治療が可能です。
痛みに配慮したスピーディな治療
歯の急な痛みに対しても、最適な麻酔方法を選択し、無痛状態で治療を開始することが可能です。
経験豊富な専門医だからこそ、1回の治療で痛みを取り除けるケースも少なくありません。
通院回数を最小限に
根管治療が長引き、半年~1年も通院した経験はありませんか?
当院では、マイクロスコープ(顕微鏡)を用いた精密な無菌治療を行っており、通院回数を大幅に減らすことが可能です。
高い成功率と長期的な歯の保存
歯内療法専門医が行う根管治療は、90~95%の高い成功率が報告されています。
また、治療後に適切な修復を行えば、約10年後でも97%の歯が問題なく機能しているという臨床データもあります。
日本顕微鏡歯科学会認定医による精密根管治療
肉眼では見えない細部まで、精密に治療します。
当院では、日本顕微鏡歯科学会が認定した専門医が、マイクロスコープを使用して精密な根管治療を行っています。
複雑な根の形状や細い根管も、拡大視野のもとで正確に処置することで、感染の取り残しや再発リスクを最小限に抑え、大切な歯をできるだけ残す治療を目指します。
従来よりも治療期間を短縮し、再発の可能性を大幅に下げる
当院では、根管治療の精度を飛躍的に高めるために、以下の設備と方法を導入しています。
- CTによる精密分析
- マイクロスコープの活用
- ラバーダムによる感染防止
これらを組み合わせることで、従来の治療では見逃されがちだった病変を正確に診断・除去し、再発のリスクを大幅に低減できます。
日本の根管治療の成功率
保険診療での根管治療は、再発のリスクが高いと言われています
根管治療は、歯科治療のなかでも特に難易度の高い処置です。
保険診療で行われる根管治療の成功率は、歯の種類によって差はありますが、一般的には 20~40%程度 にとどまるとされています。
これはつまり、保険治療で根管治療を行った場合、半数以上で再発してしまう可能性があるということです。
さらに根管治療は、再治療を繰り返すほど成功率が下がるという特徴もあります。
なぜなら、時間の経過とともに細菌がより強い感染力を持つようになり、治療が難しくなるためです。
また、神経や血管を失った歯は「枯れ木」のような状態になり、酸素や栄養素、免疫細胞の供給が断たれることで、健康な歯に比べて非常に脆くなるのです。
再治療のたびに根管内を削る必要があることから、歯の状態も徐々に悪化し、最終的に抜歯に至るリスクも高まってしまいます。
ご相談・診療予約は
こちらから
精度を高めるための先進設備と取り組み
根管治療は、どれだけ丁寧に行えるかが歯の寿命に大きく関わります。
当院では「マイクロスコープ」「CT」「ニッケルチタンファイル」「レーザー殺菌」「MTAセメント」など、
先進的な設備や材料を導入し、治療精度のさらなる向上に努めています。
それぞれの特徴についてご紹介します。
マイクロスコープ根管治療

根管は非常に細く複雑で、肉眼では限界があります。当院では最大20倍に拡大できるマイクロスコープを用いて、根管内部を鮮明に確認しながら処置します。
- 感染源の取り残しを防ぎ、再発リスクを大幅に軽減
- 歯を削る量を必要最小限に抑制
- 難症例でも歯を残せる可能性を高める
下の画像は「肉眼」と「マイクロスコープ」で見た場合の比較です。どれほど視野が広がり、細部まで確認できるかをご覧いただけます。
また、マイクロスコープには撮影機能も備わっており、治療部位を写真で患者さまにご確認いただけます。原因や治療内容を共有し、納得して治療に臨めるようサポートします。
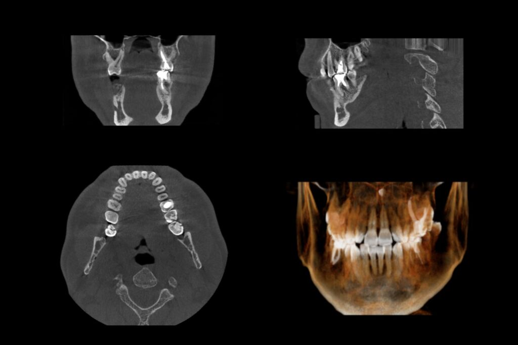
CTによる三次元的な診断

二次元レントゲンでは確認できない小さな病変も、CTを用いることで三次元的に把握できます。問題部位の見落としを防ぐことで、より確実な診断と治療計画の立案につながります。

CT画像

レントゲン画像
ニッケルチタンファイルによる柔軟な処置

根管内を清掃する器具として「ニッケルチタンファイル」を使用しています。従来のステンレス製と比べ柔軟性が高いため、複雑に湾曲した根管の奥までしっかり届き、感染部位を取り残しにくいのが特長です。
MTAセメントで再感染を防ぐ

根管を洗浄・消毒した後は、内部をすき間なく密閉する必要があります。当院では「MTAセメント」を用いて根管充填を行い、細菌の再侵入を防ぎます。MTAは殺菌作用や組織再生効果も期待でき、歯の長期保存に大きく貢献します。
ラバーダムの使用
根管治療では、処置中に根管内に細菌を含む唾液が流入して細菌感染するおそれがあります。そのリスクを防ぐために使用するのが、「ラバーダム」です。
ラバーダムはゴム製のシートで、治療する歯以外を覆うことで唾液の流入を防げます。そのため、根管治療中の細菌感染リスクを大きく軽減することが可能です。また、治療器具を誤飲する危険性も回避できるメリットもあります。

ご相談・診療予約は
こちらから
根管治療で土台を
整えることの重要性

むし歯が進行し、歯の神経がダメになってしまった歯は、内部が脆くなり、そのままでは噛む力に耐えられなくなります。しかし、根管治療を適切に行えば、再び噛める状態に回復させることが可能です。
歯の根(根管)とは、歯を支える“土台”のような存在です。どんなに美しく、しっかりとした被せものをつくったとしても、土台が不安定であれば、いずれ外れたり壊れたりしてしまいます。
これは、建物に置き換えるとよく分かるかもしれません。どんなに外観が立派な家でも、基礎となる地盤や構造が不安定であれば、倒壊のリスクが高まります。歯も同じで、土台である歯根が健全でしっかりしていなければ、外観である被せものをどんなに立派な物にしてもすぐに外れ、壊れてしまうのです。
根管治療では単に「痛みを取る」だけでなく、歯の土台をしっかり整えることが何よりも重要です。目に見えない基礎の部分だからこそ、丁寧に、確実に処置を行うことで、被せ物の持ちも良くなり、歯そのものの寿命を延ばすことにもつながります。
保険と自費の根管治療
| 保険の根の治療 | 自費の根の治療 | |
|---|---|---|
| 1回の治療時間 | 30分 | 60~90分 |
| ラバーダム | 使用しない (当院は一部使用) | 使用する |
| マイクロスコープ (顕微鏡) | 使用する | 使用する |
| ニッケルチタンファイル | 滅菌して使用 | 患者様専用の器具の用意 または新品 |
| Er:YAGレーザー | 使用しない | 使用する |
| 使える材料 | 保険で決められた 一部材料のみ | MTA (最も適した材料) |
| 予約の仕方 | 毎回予約 | まとめて複数の予約(Sコース) |
根管治療とは
歯医者にて「むし歯が神経まで進んでいます」と言われたことはありませんか?
歯の根の中には「根管(こんかん)」と呼ばれる、神経や血管が通っている細い管があります。むし歯が重度に進行すると、この根管に細菌が入り込んでしまいます。神経がむし歯菌に感染すると、常にズキズキと強い痛みが出たり、過去に治療した歯が再び痛み出したりします。
このようなケースでは、感染した神経や汚れを丁寧に取り除き、根の中をきれいに洗浄・消毒したうえで薬を詰めて密閉し、再び細菌が入らないようにする、「根管治療」が必要です。根管治療は、なるべく抜歯せずに大切な歯を残す治療法です。

根管治療の流れ
1. 検査・カウンセリング
まずはレントゲン撮影などの検査を行い、根管内の状態を正確に把握します。
歯の根の形や、炎症・感染の有無などを詳細に確認したうえで、患者さま一人ひとりに合った治療プランをご提案します。
治療内容や今後の流れについても、専門用語を使わず、丁寧で分かりやすい説明を心がけています。少しでも不安なことや疑問があれば、ご遠慮なくご相談ください。
2. 根管の清掃・消毒
検査結果にもとづき、治療を始めていきます。
まず、歯の神経が入っている根管を露出させるために、必要最小限の切削を行います。そして、細菌に感染した歯髄(しずい/神経や血管)や、歯の根の先にたまった膿などの汚れを、丁寧に取り除いていきます。
その後、根管内をすみずみまで洗浄・消毒し、形を整えてから仮のフタで保護します。
治療の効果を確認しながら、この清掃・消毒の工程を数回に分けて丁寧に繰り返すことで、再発リスクをできるだけ抑えます。
3. 薬剤・セメントで密封
根管内の洗浄と消毒が完了したら、薬剤にて根管の中をすき間なく密封する「根管充填(こんかんじゅうてん)」を行います。この工程が不十分だと、数年後に細菌が再び侵入し、再治療が必要になるため、しっかりと密閉します。
当院では、この工程で「MTAセメント」と呼ばれる高性能な薬剤を使用しています。MTAセメントは、すみずみまで根管を緊密に封鎖できるとともに、強い殺菌作用と接着性を持ち、歯と一体化する性質(再石灰化)も兼ね備えているのが特長です。
そのため、根管治療の成功率を高め、歯の寿命を延ばすのに役立ちます。
4. 被せものを装着
根管がしっかりと密閉されたことを確認できたら、次は人工歯の土台(コア)を入れ、その上に被せもの(クラウン)を装着します。
見た目や噛み心地にも配慮しながら、しっかりと噛めて、長く使える状態に仕上げます。 この工程にて、根管治療は終了です。
5. メインテナンス
治療後は、残った歯をできるだけ長持ちさせるために、ご自宅でのセルフケアと、歯科医院での定期的なメインテナンスを継続的に行うことが大切です。
当院では、プロによるクリーニングや経過観察を通じて、再発予防とともに早期発見・予防にも力を入れています。「残した歯を、長く健康に保つ」ために、一緒にケアを続けていきましょう。
ご相談・診療予約は
こちらから